
La tecnología ha revolucionado todos los aspectos de nuestras vidas, y el campo de la odontología no es una excepción. Los avances en el diagnóstico y tratamiento dental han permitido a los profesionales ofrecer una atención más precisa y personalizada a sus pacientes. Una de las herramientas más destacadas en el ámbito de la radiología dental es la Tomografía Computerizada de Haz Cónico (CBCT, por sus siglas en inglés). En este artículo, exploraremos en qué consiste esta técnica y cómo beneficia a los pacientes en un centro de diagnóstico dental.
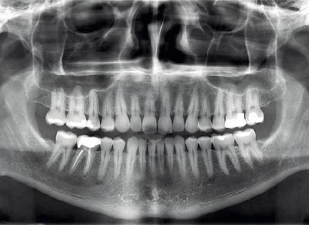
La CBCT es una forma avanzada de tomografía computarizada que utiliza un haz cónico de rayos X para obtener imágenes tridimensionales detalladas de la estructura dental y maxilofacial. A diferencia de las radiografías tradicionales, que solo proporcionan imágenes bidimensionales, la CBCT ofrece una visión completa y precisa de los dientes, huesos y tejidos circundantes. Esto permite a los odontólogos evaluar con mayor precisión los problemas dentales y planificar los tratamientos de manera más eficiente.
Uno de los mayores beneficios de la CBCT es su capacidad para proporcionar imágenes en 3D de alta resolución. Estas imágenes detalladas permiten a los profesionales identificar problemas dentales y óseos que podrían haber pasado desapercibidos con otras técnicas de diagnóstico. Con la información obtenida a través de la CBCT, los odontólogos pueden evaluar la salud de los dientes, la mandíbula, los senos paranasales y otras estructuras maxilofaciales, lo que les ayuda a realizar diagnósticos más precisos.
Además, la CBCT es especialmente útil en el campo de la implantología dental. Antes de la colocación de un implante dental, los odontólogos necesitan evaluar la calidad y cantidad del hueso disponible. La CBCT proporciona una visión tridimensional del hueso, lo que permite a los profesionales determinar la ubicación óptima para el implante y planificar con precisión la cirugía. Esto conduce a una mayor tasa de éxito en los procedimientos de implantes y reduce la posibilidad de complicaciones.
Otro aspecto destacado de la CBCT es su tiempo de escaneo rápido y su baja dosis de radiación en comparación con otras técnicas de tomografía computarizada. Aunque la CBCT utiliza rayos X, la cantidad de radiación necesaria para obtener imágenes es significativamente menor que la de los escáneres tradicionales. Esto garantiza la seguridad de los pacientes y minimiza los riesgos asociados con la exposición a la radiación.
En un centro de diagnóstico dental, la incorporación de la CBCT en la práctica clínica puede mejorar significativamente la atención al paciente. Los odontólogos pueden utilizar las imágenes tridimensionales para educar a los pacientes sobre su salud bucal y explicar de manera más precisa los procedimientos que se deben realizar. Esto fomenta una mayor participación del paciente en su propio tratamiento y les brinda una comprensión más clara de su condición dental.
En resumen, la Tomografía Computerizada de Haz Cónico (CBCT) es una herramienta avanzada que ha revolucionado el diagnóstico dental. Su capacidad para proporcionar imágenes tridimensionales de alta resolución ha mejorado la precisión de los diagnósticos y ha permitido a los odontólogos planificar y realizar tratamientos con mayor eficiencia. Con sus beneficios de baja dosis de radiación y tiempo de escaneo rápido, la CBCT se ha convertido en una herramienta indispensable en los centros de diagnóstico dental modernos. Al elegir un centro de diagnóstico dental, asegúrese de que cuenten con esta tecnología para garantizar una atención de calidad y una experiencia satisfactoria para los pacientes.