Dental Tac Elche

Dental Tac Elche

Centro de pruebas maxilofaciales 2D y 3D

Tecnología dental de vanguardia al servicio de los pacientes y otras clínicas dentales

¡Reserva tu cita en menos de 1 minuto!

Disponible la reserva online de citas para todas las pruebas de diagnóstico dental en Elche. Selecciona fecha, hora y prueba y confirma tu cita en 1 minuto.

8+

Años de experiencia

+2mil

pruebas realizadas

La tecnología dental más avanzada

Ofrecemos una amplia variedad de servicios radiológicos dentales para satisfacer en todo momento sus necesidades y que su tratamiento sea óptimo.

Tecnologia dental avanzada

3
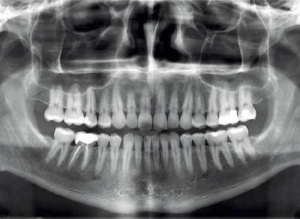
Ortopantomografía

La ortopantomografía es una herramienta útil para el diagnóstico en odontología, cirugía bucal, implantología, ortodoncia o periodoncia.

4
Telerradiografía lateral

Estas radiografías son una parte fundamental de los estudios de ortodoncia, ya que permiten medir los ángulos y proporciones de los huesos.

5
CBCT

El TAC dental 3D es un procedimiento de imagen para el diagnóstico radiológico que va mucho más allá de las radiografías convencionales.

Estamos a tu servicio

Alta resolución de imagen

Ofrecemos imágenes dentales de alta resolución que proporcionan una visión detallada de la estructura bucal, permitiendo diagnósticos precisos y un tratamiento efectivo.

Prueba al instante

Nuestras pruebas se realizan de manera rápida y eficiente, obteniendo resultados al instante y agilizando su atención y diagnóstico.

Escaner dental en 3D

Contamos con tecnología de escaneo dental en 3D que permite una evaluación tridimensional precisa de su boca, lo que es esencial para la planificación de tratamientos avanzados y personalizados.

Nuestros clientes

¡Recomiendo a Dental Tac 100%! Sin tiempos de espera, máxima atención y última tecnología.

Valorado con 5 de 5

Mari M.

Profesionales, rápidas y competentes tanto en lo profesional como en lo económico. La chica rubia muy amable y buena gente 👍🏼

Valorado con 5 de 5

Álvaro V.

Última generación en tac dental con los mejores precios del mercado.

Valorado con 5 de 5

Juan Antonio G.

Solicitar cita

Nos complace ofrecerte nuestros servicios en nuestro centro. Nuestro equipo altamente capacitado de profesionales está comprometido en brindarte la mejor atención y cuidado posible

Scroll al inicio